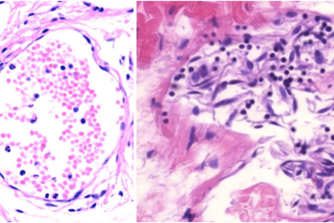
Two microbiologists wrote a counterargument to a piece by “Health Feedback” that challenged their August publication titled “Vascular and organ damage induced by mRNA vaccines: irrefutable proof of causality.”
Dr. Michael Palmer and Dr. Sucharit Bhakdi said in a statement sent to The Epoch Times on Sept. 18 that the Health Feedback article is “quite simply a hit job without any scientific merit.”




