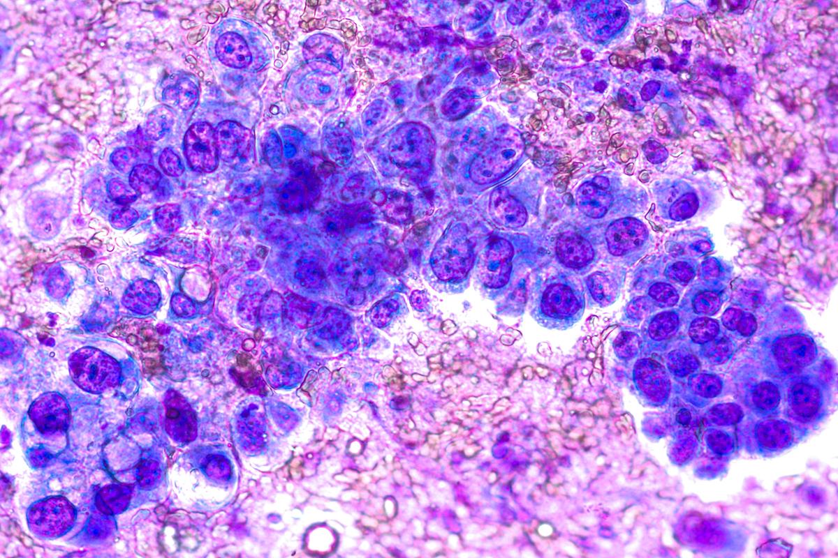
A recent study from researchers at the University of Kentucky has identified glycogen, a stored form of glucose, as a significant factor in the progression of lung adenocarcinoma, a particularly aggressive form of lung cancer.
Diet High in Fat and Sugar Worsens Cancer
The findings, recently published in Nature Metabolism, suggest that heightened levels of glycogen are linked with increased lung adenocarcinoma tumor aggressiveness and decreased survival rates.Researchers tested the effects of glycogen in mice and humans. They increased glycogen levels in mice through dietary changes and gene modification. This dual approach allowed them to examine the effects of glycogen from different angles.





