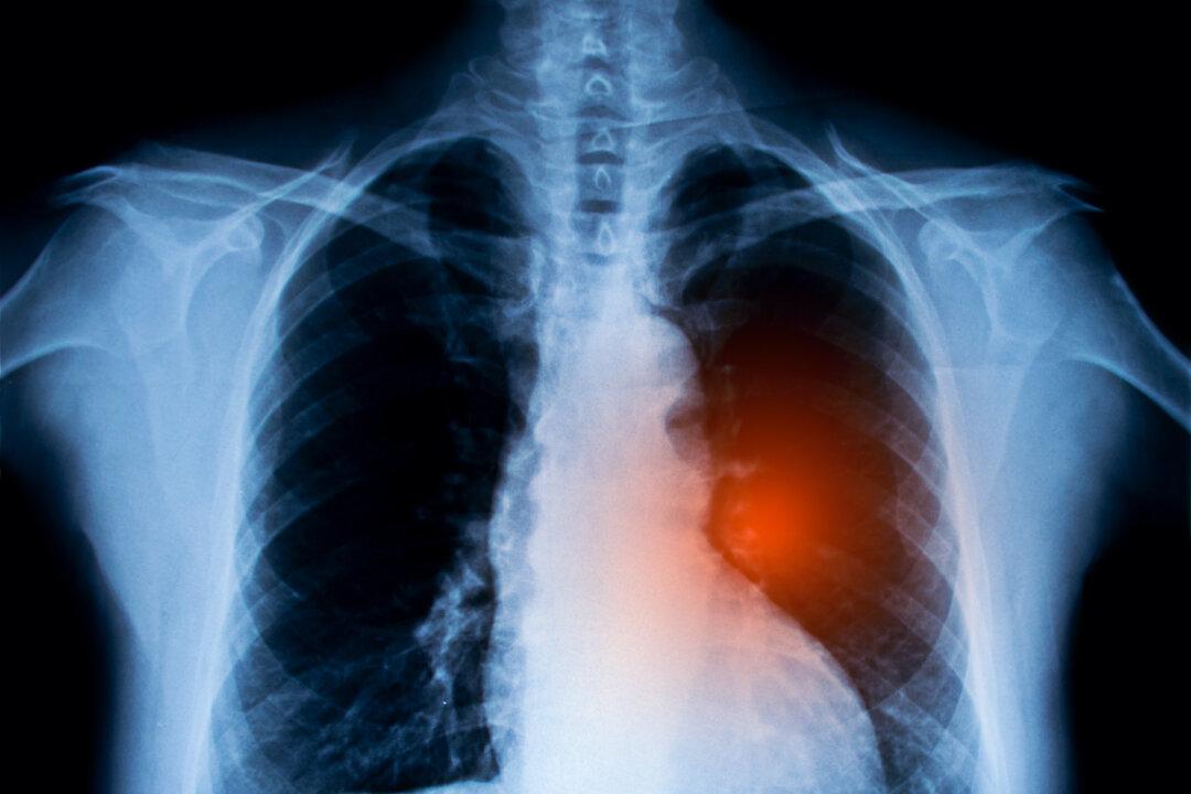
A nearly decade-long study revealed that a once-a-day pill can reduce the risk of death from lung cancer by more than half, offering hope for improved patient outcomes and potentially saving millions of lives.
Recently published in the New England Journal of Medicine (NEJM), the research involved 682 patients, including those diagnosed with non-small cell lung cancer (NSCLC), which accounts for 80 to 85 percent of all diagnosed lung cancers.





