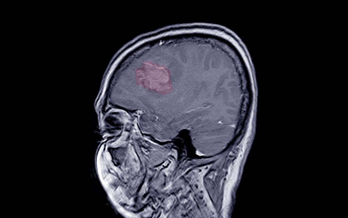
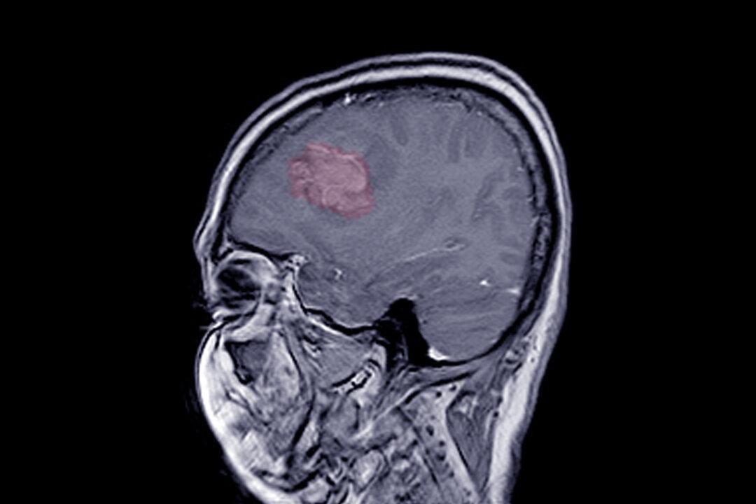
Prolonged use of certain progestogen hormone drugs, including a common injectable contraception, is associated with an increased risk of developing intracranial meningioma tumors.
In a recently published study in The BMJ, French researchers found that medrogestone, promegestone, and injectable medroxyprogesterone acetate—a widely used contraceptive known by the brand name Depo-Provera—increase the risk of intracranial meningiomas requiring surgery.





