Aortic Dissection After COVID-19 Vaccination

Aortic Dissection After COVID-19 Vaccination
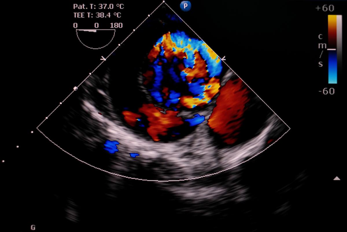
Echocardiography image of aortic dissection type A PIJITRA PHOMKHAM/Shutterstock
|Updated:
0:00
Yesterday I met a 42-year-old optometrist who six days after the second mRNA COVID-19 vaccination suffered a distal aortic dissection.  He was healthy and was physically fit.  He knew something was wrong when back pain and leg weakness developed resulting in severe effort intolerance on vacation.
He rushed home, was hospitalized and underwent the appropriate diagnostics to determine the presence of an aortic aneurysm or widening of the aorta and then a discrete tear which blood flow now goes through the true lumen and a false lumen created by the dissection.  This occurs in the outer third of the media or the muscular layer of the blood tube.
Dr. McCullough is a practicing internist, cardiologist, and epidemiologist in Dallas, Texas. He studies the cardiovascular complications of both the viral infection and the injuries developed from COVID vaccines. He has dozens of peer-reviewed publications on COVID, multiple U.S. and state Senate testimonies, and has commented extensively on the medical response to the COVID crisis on major media outlets.
Related Topics