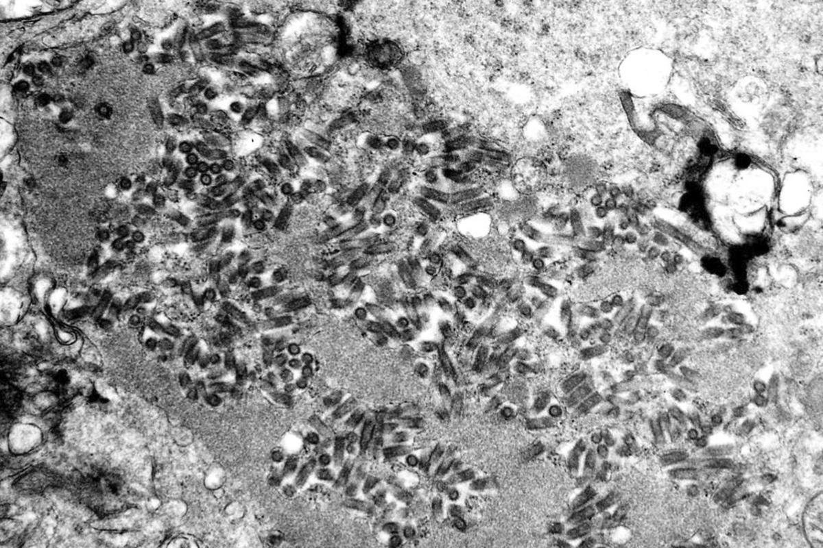
NEW YORK—Five Americans died of rabies last year—the largest number in a decade—and health officials said Thursday that some of the people didn’t realize they had been infected or refused life-saving shots.
The Centers for Disease Control and Prevention released a report on three of the deaths, all stemming from contact with bats. CDC officials said the deaths were tragic and could have been prevented.





