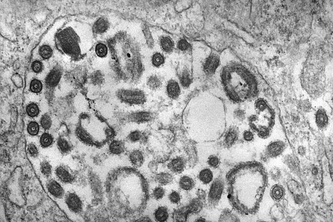
The U.S. Centers for Disease Control and Prevention (CDC) is warning travelers to take precautions and avoid nonessential travel in the African nations of Equatorial Guinea and Tanzania amid outbreaks of the deadly Marburg virus disease (MVD).
The CDC also says it’s sending personnel from its National Center for Emerging and Zoonotic Infectious Diseases to respond to the outbreaks.




