
Tranquil scenes can affect us biologically, a recent study found. The study, conducted by researchers at the University of Sheffield in the U.K., will be published in the journal NeuroImage on Nov. 1.
The researchers showed participants scenes of a beach or freeway with the same sounds and measured their brain activities with functional magnetic resonance imaging (fMRI), which measures blood flow in the brain.
“It is well known that natural environments induce feelings of tranquility whereas manmade, urban environments are experienced as non-tranquil,” said Dr. Michael Hunter, lead researcher of the study, in a press release.
“We wanted to understand how the brain works when it perceives natural environments, so we can measure its experience of tranquility.”
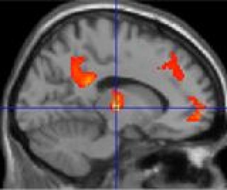
They found that while seeing the beach scene, the participants’ brains showed more connections between different regions than while they were viewing the freeway scene.
“Compared with scenes experienced as non-tranquil, we found that subjectively tranquil scenes were associated with significantly greater effective connectivity between the auditory cortex and medial prefrontal cortex, a region implicated in the evaluation of mental states,” the researchers wrote in their paper.
“Similarly enhanced connectivity was also observed between the auditory cortex and posterior cingulate gyrus, temporoparietal cortex, and thalamus.”






